Extra Dural Hematoma

18 March 2023 | Medicover Hospitals | Hyderabad

A 56-year-old male patient met with an accident while he was driving a bike in Kakinada.

He was brought to Medicover Kakinada within 15 minutes by an Ambulance. After arrival, the patient was examined and found that he was unconscious and not responding(GCS less than 10). CT Scan and blood tests were ordered immediately and OT was kept ready simultaneously.

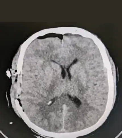
CT scan showed a huge extradural clot (150ml). Emergency craniotomy was performed within 20 minutes. Clot was extracted and bleeding was controlled. He gained consciousness and responded to verbal commands. His GCS improved and discharged home. However, he needs rehabilitation for at least 6 months to gain muscle strength, walking capability, regained bladder control.


EDH Before Craniotomy

extra-dural-hematoma-1

EDH After Craniotomy

extra-dural-hematoma-2

Discussion

Head injuries require immediate medical attention. Epidural hematoma can be life-threatening if not identified timely. In some cases, internal bleeding develops slowly. Some of the features are Severe Headache, Vomiting, Seizures, Loss of vision on one side, dizziness, abnormal breathing, weakness in one half of the body, enlarged pupil in one eye, drowsiness or loss of alertness. Common causes of epidural hematoma are blunt injury to head by RTA, Sports injuries or fall from height or violent attack. Management depends on the severity of injury based on CT or MRI and co-morbid conditions of the patient. Surgical treatment is usually craniotomy for large hematoma or burr hole for small hematoma. Medications used are Hypertonic saline, Mannitol, Glycerol and anti-inflammatory agents.

Recovery will take time and depends on the severity of injury. It includes both Hospital and home-based care for Rehabilitation. In some cases, it may take up to 6 months.


Contributors

Dr. Chandu Lingolu

Dr. Chandu Lingolu

MBBS, M.S., M.CH Neurosurgery
Consultant Neurosurgeon

Dr. Naveen

Dr. Naveen

MBBS, CCT-EM (SEMI), MRCEM
Consultant Emergency Medicine

Get A Call From Our Experts

Get A Call From Our Experts

Select a country first

Still have questions? Get in touch with our experts

Call Now Book Appointment
Read this page in:
Book an Appointment Book Appointment Second Opinion Doctor Second Opinion WhatsApp Icon WhatsApp Search for Doctors Find Doctors

Feeling unwell?

Request a callback!

Medicover Hospitals India Logo