Find Doctors
Still have questions? Speak with our experts now!
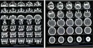
040-68334455Coronavirus disease (COVID-19) is a highly infectious disease leading to fatal morbidity and mortality in patients with severe acute respiratory disease syndrome; pulmonary fibrosis is common with COVID-19. A 32-year-old male with diabetes who was treated for COVID-19 developed left eye proptosis and left facial palsy. Computed tomography brain and orbits were suggestive of mucormycosis.
Functional endoscopic sinus surgery (FESS) was done and a sample was sent to histopathology, the patient was put on a mechanical ventilator, and given supportive treatment. The patient had developed left-sided hemiplegia. On prolonged support of the ventilator, the patient had ventilator- associated pneumonia. Early surgical intervention, intravenous antifungal treatment, and a good supportive critical care management was provided to have a good prognosis.Less fulminant disease course can be achieved in such cases of post-COVID-19 mucormycosis.
A 32-year-old diabetic male undergoing treatment for COVID-19 in another hospital, who developed left eye proptosis and left facial palsy was referred to Medicover Hospitals, Chhatrapati sambhaji nagar. Computed tomography (CT)brain and orbit were suggestive of mucormycosis. The patient was referred to a Dentist and the case was operated on with the help of a maxillofacial surgeon.
Functional endoscopic sinus surgery (FESS)and Left subtotal Maxillectomy with left orbital decompression were done, and the sample was sent for histopathological examination. The patient was put on an invasive mechanical ventilator and started on liposomal amphotericin, broad-spectrum antibiotics, and diabetes control. On postoperative day-1 patient developed right-sided hemiplegia. CT brain suggested multiple small infarcts in the thalamus and left parietal region. The patient was treated with antiplatelet and low molecular weight heparin.
In view of his neurological status, he was on prolonged ventilation due to which he developed ventilator- associated pneumonia and was in septic shock requiring inotropic support. Culture screening was sent and was treated as per the sensitivity report.
Pneumonia VAP with ARDS In view of prolonged ventilation, percutaneous tracheostomy was done. Gradually patient started improving, supports were weaned off, and decannulation was done on the post- operative day-17. Post-decannulation, the patient remained stable, had no new clinical deterioration, and was discharged on the 27th day of admission with the advice to follow up for a zygomatic implant and nasolabial flap to cover the palate.
We could successfully manage the patient as per evidence of critical care medicine guidelines with optimization of critical care bundles and we were successful in preventing acute kidney injury (AKI) in this patient, who was at substantial risk of developing AKI without the requirement of renal replacement. This is the best example of integrated multispecialty approach along with very good ICU nursing care.
Mucormycosis is a life-threatening infection associated with COVID-19 infection. Uncontrolled diabetes is one of the common risk factors for the development such opportunistic infections. Early surgical intervention, intravenous antifungal treatment, and a good supportive critical care management can have a good prognosis and less fulminant disease course can be achieved in such cases of post-COVID-19 mucormycosis.

Still have questions? Speak with our experts now!
040-68334455