Scoliosis Deformity Correction Under Neuromonitoring

Jan 11 2023 | Medicover Hospitals |

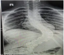
A 14-year-old female with 2 years of postmenarcheal presented with advanced scoliosis which was left untreated for 2 years. The deformity has Cobb's angle of 60°, which resulted in a non cosmetic deformity in the lower back (Image 1).This case certainly is within the usual range that indicates surgical intervention, with a curve which is clinically evident. The patient was advised to undergo surgery to prevent possible future negative impacts of the long-term signs and symptoms of scoliosis on her health. Considering this risk, the patient agreed to undergo surgery.

The scoliosis deformity was corrected with rod and pedicle fixation using the posterior approach under neuromonitoring.

The post-operative x-ray measures less than 10° Cobb angle (Image 2).


Investigation

Pre OP x-ray

scoliosis-deformity-correction

Post OP x-ray

scoliosis-deformity-correction

Discussion

Many patients are reluctant to undergo surgery as not many centers provide infrastructure for such a major case. Intraoperative neuromonitoring is now considered “standard of care” during pediatric spine surgery. The complication of paraparesis is very grave and rightfully unacceptable for correction of the cosmetic deformity. This risk can largely be negated by the use of this technique. Once the disease is recognized, effective treatment should be instituted to address the deformity and prevent its long-term sequelae.

Take home message

1. Adolescent idiopathic scoliosis is a treatable condition.

2. In the early stages before menarche, it can be controlled by means of bracing and regular clinical monitoring.

3. Scoliosis advances rapidly with the onset of menarche.

4. Advanced scoliosis with Cobb's angle of more than 45 degrees requires surgical correction.

5. Surgical correction under neurological monitoring reduces the risk of paraparesis and gives good function along with good cosmesis.


Contributors

Dr Nikhil Challawar

Dr Nikhil Challawar

Orthopedic

Dr. Chandan Mohanty

Dr. Chandan Mohanty

Neuro Surgeon

Get A Call From Our Experts

Get A Call From Our Experts

Select a country first

Still have questions? Get in touch with our experts

Call Now Book Appointment

Read this page in:
Book an Appointment Book Appointment Second Opinion Doctor Second Opinion WhatsApp Icon WhatsApp Search for Doctors Find Doctors

Feeling unwell?

Request a callback!

Medicover Hospitals India Logo