Large LA Myxoma in Young Stroke Patient Treated Surgically

01 Sep 2023 | Medicover Hospitals | Hyderabad

Introduction

Atrial myxoma remains a rare clinical entity with an incidence of surgically resected cases of 0.5–0.7 per million population and prevalence of 5 per 10,000. It typically manifests in woman after third decade of life; symptoms vary greatly and may present with arrhythmia, intracardiac flow obstruction, embolic phenomenon, and associated constitutional symptoms. Neurological complications associated with atrial myxoma most frequently include cerebral infarct due to embolus.

Case Presentation

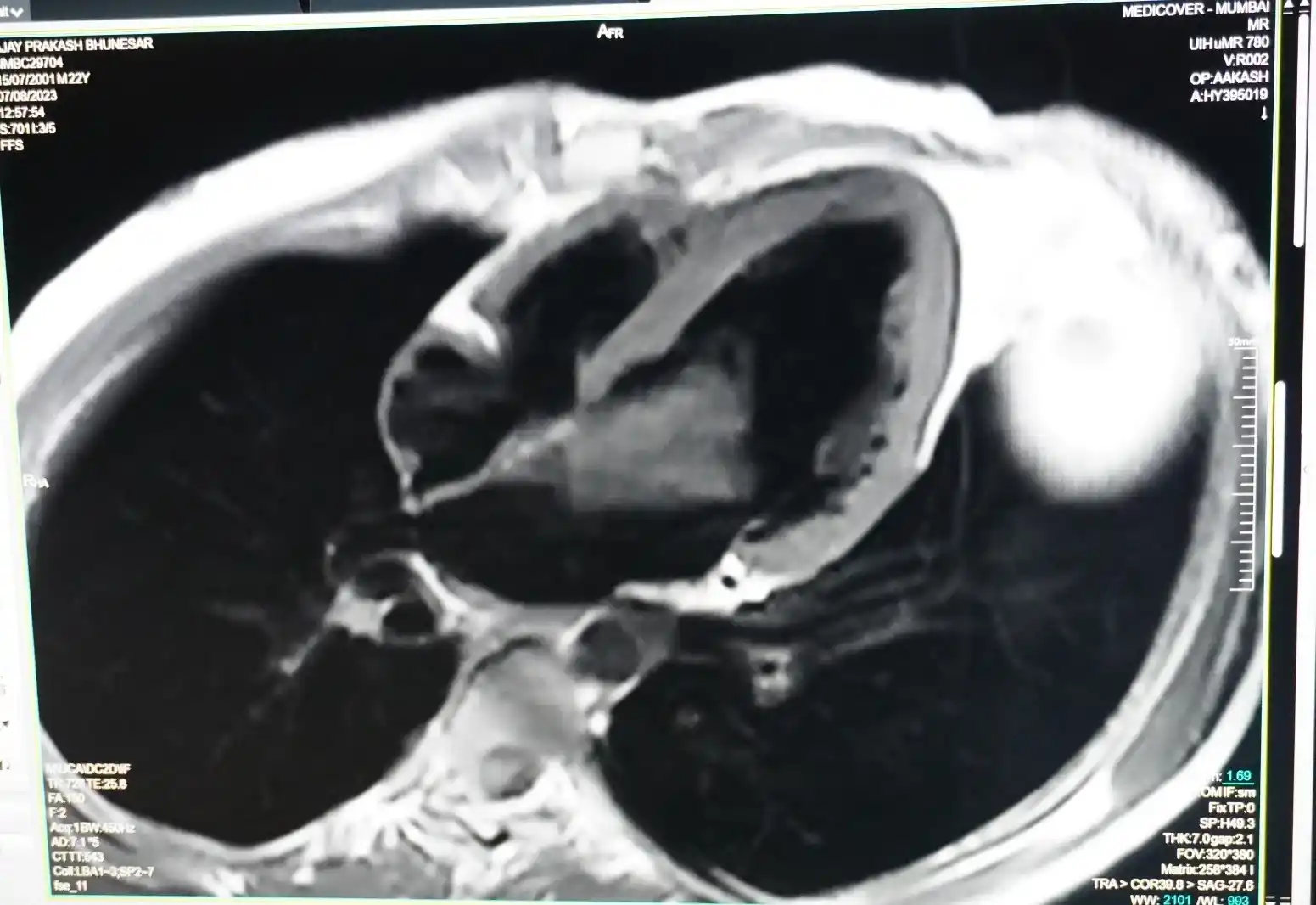
22 year male patient presented with ataxia,difficulty in swallowing,vomitings and weakness and decreased sensation in limbs. His MRI brain showed non hemorrhagic infarct involving Dorsolateral medulla.He was evaluated for cause of development of stroke.On detail evaluation by cardiologist his ECHO showed Large irregular mobile mass measuring 6.3 x3.8 cm,present in LA extending to LV so differential diagnosis of LA myxoma,Large clot or vegetation was kept.Cardiac MRI showed a large well defined heterogeneously enhancing lobulated,oval,mobile,pedunculated mass in left atrium attached to the interatrial septum with prolapse into left ventricle through AV valve likely Left atrial myxoma.

CTVS opinion taken in view of large LA myxoma and potential risk of further embolization.Plan for surgical excision was made and on 12/08/2023 he underwent successful excision of LA myxoma without any complication at medicover hospital Navi mumbai.He was discharged on 17/08/2023.

Discussion

Atrial myxomas occur predominantly in females, with the peak between the fourth and sixth decade of life. Some studies suggest the ratios of women to men are 2.05:1 and 0.75:1 for left and right atrial myxomas, respectively.Macroscopically, atrial myxomas are often pedunculated and soft in texture. The myxoma diameter varies from 1 to 15 cm with a weight of between 15 and 180 g. The tumor can present with a smooth, villous, or friable surface. The villous and friable myxomas tend to be associated with embolic events, while the smooth myxomas are usually large and present more with an obstructive picture.

In our case 22 year old male presented with embolic infarct.On evaluation it was diagnosed as a Large Left atrial myxoma,requiring surgery to prevent further embolic episodes and mechanical complication.

Patient underwent successful Left atrial myxoma excision without any complication and discharged home.This Is Unusual Presentation Of La Myxoma In A Male Patient With Stroke.

Conclusion

LA Myxoma are rare cardiac tumours.Present with cardio-embolic events,heart failure ,cardiac arrhythmia or infection.They can be managed with complete surgical excision with good result.

Large La Myxoma In Young Stroke Patient Treated Surgically

Pre Surgery MRI

Large La Myxoma In Young Stroke Patient Treated Surgically

Tumour mass after Surgical Removal

Videos


Pre Surgery TEE


Post Surgery TEE


Pre Surgery 2D Echo

Contributors

Dr Ashish A Baviskar

Dr Ashish A Baviskar

Consultant Cardio-Vascular Thoracic Surgeon & Minimal Invasive Cardiac Surgeon

Get A Call From Our Experts

Get A Call From Our Experts

Select a country first

Still have questions? Get in touch with our experts

Call Now Book Appointment

Read this page in:
Book an Appointment Book Appointment Second Opinion Doctor Second Opinion WhatsApp Icon WhatsApp Search for Doctors Find Doctors

Feeling unwell?

Request a callback!

Medicover Hospitals India Logo